Şırnak’ta yaşayan Semra ve Mehmet Ötün çiftinin oğulları Aram Devran Ötün, mayıs ayında piknikteyken salatalık parçası yuttuktan sonra öksürük ve kusma şikayetleri görülünce Şırnak Devlet Hastanesi’ne götürüldü.
Burada çekilen röntgen ve MR’da Aram’ın vücudunda kateter unutulduğu görüldü.
KATATER AMELİYATLA ÇIKARILDI
Diyarbakır’daki Gazi Yaşargil Eğitim ve Araştırma Hastanesi Kadın Doğum ve Çocuk Ek Binası’na sevk edilen Aram, 5,5 saat süren riskli bir ameliyata alınarak 18 santimetre uzunluğundaki kateter çıkarıldı.
Ameliyat sonrası yapılan incelemelerde kateterin kalp kapakçığına ve ciğerlerine zarar verdiği belirlendi.

HASTANEYE DAVA AÇTILAR
Aile, avukatları aracılığıyla çocukları Aram’ın 2022 Eylül ayında milyonda bir görülen Stevens-Johnson sendromu nedeniyle tedavi gördüğü Dicle Üniversitesi Hastanesi hakkında Diyarbakır İdare Mahkemesi’ne dava açtı.
Dicle Üniversitesi de konu ile ilgili idari soruşturma başlatıldığını belirtti.
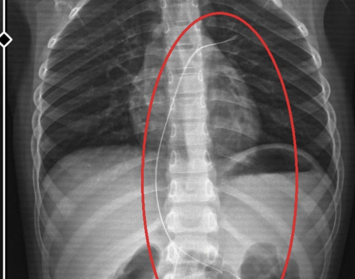
“TEDAVİ SIRASINDA TAKILAN KATATER 18 CM UZUNLUĞUNDA”
Müvekkilim Aram Devran Ötün, 2022 Eylül ayında Dicle Üniversitesi Hastanesi’nde Stevens- Johnson hastalığı nedeniyle tedavi gördü. Tedavi sırasında kendisine kateter takıldı. 18 santimetre uzunluğundadır.
Bunu takarken büyük bir ihmalkarlık yapılarak vücudunda unutuldu. Mayıs ayında müvekkilim çok öksürdüğü için Şırnak Devlet Hastanesi’ne kaldırıldı. Burada yapılan tetkiklerde kateterin unutulduğu tespit edildi.

“KATATERİN VÜCUTTA YOL ALDIĞI TESPİT EDİLDİ”
Daha sonra Diyarbakır Gazi Yaşargil Kadın ve Çocuk Hastalıkları Hastanesi’ne götürüldü. Çok riskli bir ameliyata alındı ve kateter çıkarıldı.
Bu kateterin vücutta yol aldığı tespit edildi. İlk giriş yeri ve çıkarıldığı yer arasında çok fark var ve kalp kapakçığı ile ciğerlerine zarar verdiği tespit edildi.
“SORUMLULUKLARDAN ŞİKAYETÇİ OLDUK”
Müvekkillerimin hem maddi hem de manevi zararlarını karşılamak adına Dicle Üniversitesi’ne biz başvuruda bulunduk. 30 günlük cevap süresi içerisinde bize geri dönüş yapılmadı.
Biz de maddi ve manevi zararların tazminat için Diyarbakır İdare Mahkemesi’ne davamızı açtık ve sorumlulardan şikayetçi olduk.

“KATATERİN UNUTULDUĞU FARK EDİLMİYOR”
Oğlunun piknikte salatalık parçası yuttuktan sonra sürekli öksürmeye ve kusmaya başladığını söyleyen Semra Ötün, şöyle konuştu:
Çocuğum 3 yıl önce Steven Johnson sendromu hastalığına yakalandı. Milyonda bir görülen antibiyotikten kaynaklı bir hastalık. Doktorlar öyle söyledi. Bizi acilen Diyarbakır Dicle Üniversitesi Çocuk Hastanesi bölümüne sevk ettiler.
1 ay yoğun bakım sürecimiz oldu. 28 gün yoğun bakımda, 3 günde serviste kaldı. Damar yolundan, kasıktan serum taktılar. Kateter denilen tel çocuğun vücudunda bırakılıyor. Biz taburcu olduğumuzda fark edilmiyor.
“SALATALIK PARÇASI YUTTU, SONRA SÜREKLİ ÖKSÜRMEYE BAŞLADI”
3 yılın sonunda biz bunu fark ettik. Pikniğe gittik. Oğlum salatalık parçası yuttu ve salatalık parçasından sonra akşama kadar öksürdü. Hiçbir şekilde durmadı. Kusuyordu. Ben şüphelenmeye başladım. Çocuğum normal değildi. Sonra eşime danıştım. Akşam 21.00 civarında acile götürdük.
Röntgeni ve MR’ı çekildi. Tuhaf bir şey olduğunu anladık. Doktor röntgeni gösterdi. Tel kalmıştı. Çok kötü bir şekilde. Acil doktoru film çektikten sonra bize bir tel parçasını gösterdi. Bizi bekletmeden Diyarbakır’a sevkimizi verdiler. Diyarbakır Gazi Yaşargil Eğitim ve Araştırma Hastanesi Kadın Doğum ve Çocuk Ek Binası’na gittik.

“ANNE ÇOK YORULDUM, KARNIM AĞRIYOR DİYORDU”
Çocuğun kasıklarından anjiyo yolu ile teli çıkaracaklarını ama riskli bir ameliyat olduğunu söylediler. O süreçte çocuk gerçekten sürekli yoruluyordu. İkide bir oturuyordu. ‘Anne çok yoruldum, karnım ağrıyor’ diyordu.
Ben ağrı kesiciler ile geçiştirmeye çalışıyordum. Bu telin 3 yıl boyunca çocuğumda kaldığını öğrendim. Ailece yıkıldık.
“ÇOCUĞUM YAKLAŞIK 5,5 SAAT AMELİYATTA KALDI”
Çok zor günler geçirdiklerini belirten anne Ötün, şunları söyledi:
Çocuğum yaklaşık 5,5 saat ameliyatta kaldı. Ameliyata giren doktor kötü bir şekilde çıkıyordu. Çok zor bir yerde olduğunu ve yorulduklarını söylüyordu. Malzeme atıyoruz, malzeme geliyor tel hiçbir gelmiyor, dedi.
Sonra en son bir doktor çıktı, ‘İki seçeneğimiz var. Ya açık kalp ameliyatı ya da çocuk ömür boyu o tele maruz kalacak’ dediler. Her iki seçenekte benim için çok acıydı. Sonra profesör girdi ameliyatına başardılar. Çıkardılar.

“KENDİ GÖZLERİMLE GÖRENE KADAR İNANMADIM”
Şu anda kalp kapakçığında sorun varmış. Çocuğum bundan dolayı tedavi oluyor. Çok acılı günler geçirdik. Çok zor günler geçirdik. Bizim canımız yandı kimsenin canı yanmasın. Doktorlar söylediğinde inanamadım. Şok oldum.
Çünkü çocuğum 3 sene boyunca takipli hasta olduğumuz için sürekli Diyarbakır’a, Ankara’ya sürekli gidip geliyoruz. İnanamadım ben. Kendi gözlerimle görene kadar inanmadım. Çok kötü olduk.

1
Gümüşhane’nin Tarihi Kalelerine Ulaşım Kolaylaşıyor
10218 kez okundu
2
Trabzon’da av sırasında dehşet anları: Yaralı domuz saldırdı
9366 kez okundu
3
Giresunlu Zahide, Yavru Karacanın Umudu Oldu
6769 kez okundu
4
Tepki Mi, İhanet Mi?
4425 kez okundu
5
Ankara’da lityum fabrikasında sızıntı
4221 kez okundu
Veri politikasındaki amaçlarla sınırlı ve mevzuata uygun şekilde çerez konumlandırmaktayız. Detaylar için veri politikamızı inceleyebilirsiniz.